
Ordinacija za estetsku stomatologiju Euro Dent Kruševac
„EURODENT“ je osnovan 1989, lociran je u neposrednoj blizini centralne gradske pešačke zone i ima obezbeđen parking za pacijente. Poslovni prostor od oko 300 m2 je dizajniran i opremljen namenski po najvišim svetskim standardima za obavljanje stomatološke delatnosti.
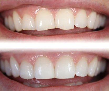
U sklopu sistema trenutno posluju dve ordinacije opšte stomatologije, jedna ordinacija za estetsku stomatologiju, centar za digitalnu dentomaksilarnu radiografiju i odelenje za analizu i planiranje.
Zahvaljujući uspostavljenoj poslovno-tehničkoj saradnji sa najpoznatijim privatnim klinikama kao što su između ostalih „Beogradcentar“ prof. Zorana Stajčića i „Ostrog“ prof. Milovana Bojića, svojim pacijentima možemo obezbediti i najzahtevnije intervencije u sklopu najkomplikovanijih dijagnostikih i terapijskih procedura.
Na čelu mladog, obrazovanog i stručnog tima “Eurodenta” koji čine šest lekara, četiri sestre, menadžer i poslovni sekretar je dr stom. Milorad Kovačević, aktuelni predsednik Društva privatnih doktora stomatologije.
- 27. godišnje iskustvo u privatnoj praksi,
- Preko 16.000 otvorenih kartona pacijenata,
- Oko 500.000 uspešno obavljenih intervencija,
- Pokazatelji kontinuiranog rasta i razvoja,
- Šest veoma uspešnih ordinacija koje su otvorili doktori ranije zaposleni u Eurodentu,
- Desetine završenih seminara i kurseva, konsultanti i mentori sa najvišim referencama,
- Centralna sterilizacija u najnovijim autoklavima sa digitalnom kontrolom i štampanim zapisom toka sterilizacije,
- Digitalni ortopan, telerentgen i tomografija, radioviziografija,
- Materijali i aparati poslednje generacije i osoblje edukovano da sve to primenjuje,
Dizajniran radni prostor sa nekoliko ordinacija, čekaonica, klubom i rentgen salom,Ispunjeni uslovi da ordinacija radi subotom, nedeljom i tokom praznika,
je dovoljno razloga da nas posetite.
Delatnost:
ZDRAVSTVENO I SOCIJALNO / Stomatološke ordinacije
PIB:
102523089
Adresa:
Veselina Nikolića 11
Poštanski broj:
37000
Grad / Opština:
Kruševac
| Telefon: | 065/446-4500 |
| Telefon2: | |
| Email: | dr.milan_kovacevic@eurodent.rs |
| Web: | www.eurodent.rs |











